AteBeva 치료 간세포암 환자 198명 분석
영상 기반 무증상 면역반응, 독립적 예후 인자로 확인
[메디컬프라임 백현석 기자] 서울대병원 연구팀이 간세포암 환자의 1차 면역항암치료 과정에서, 환자가 증상을 느끼지 않더라도 CT에서 나타나는 경미한 면역관련 변화가 생존기간 및 치료 효과와 연관될 수 있다는 연구 결과를 발표했다. 그동안 단순한 이상 소견으로 여겨졌던 영상 변화가 실제로는 치료 경과를 예측하는 의미 있는 지표가 될 수 있음을 확인한 것이다.
간세포암은 B·C형 간염, 간경변 등 만성 간질환 환자에서 주로 발생하며 초기 증상이 거의 없어 뒤늦게 발견되는 경우가 많다. 최근 면역항암제가 간세포암의 중요한 치료 옵션으로 자리 잡았지만, 치료 중 나타나는 ‘면역관련 이상반응(irAEs)’이 실제 예후와 어떤 연관을 갖는지는 충분히 알려져 있지 않았다.
특히 환자에게 불편한 증상이 전혀 없더라도 영상에서만 관찰되는 변화가 어떤 의미를 갖는지는 더욱 연구가 필요한 상황이었다.
서울대병원 소화기내과 유수종 교수·박제연 진료교수와 영상의학과 이동호 교수 연구팀은 2020년 10월부터 2023년 6월까지 아테졸리주맙·베바시주맙(Atezolizumab–Bevacizumab, AteBeva) 병합요법을 받은 절제 불가능 간세포암 환자 198명을 대상으로 치료 중 발생한 이상반응이 임상 경과에 미치는 영향을 후향적으로 분석한 연구 결과를 발표했다.
이번 연구는 국제 학술지 ‘Liver Cancer’ 최근호에 게재됐다.
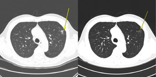
연구팀은 치료 중 나타난 이상반응 양상에 따라 환자를 ▲이상반응이 전혀 없는 ‘무이상반응군’ ▲임상 증상이나 혈액검사 이상을 동반한 ‘증상성 이상반응군(증상군)’ ▲증상은 없지만 CT에서 폐 주변부 미세 염증성 음영, 일시적 대장벽 비후, 장간막 염증, 반응성 림프절 종대 등 면역반응으로 해석되는 변화만 나타난 ‘무증상 영상 이상반응군(무증상 영상군)’으로 분류했다. 전체 198명 중 무증상 영상군은 12명, 증상군은 56명, 무이상반응군은 130명이었다.
이후 연구팀은 세 군의 전체 생존기간(OS), 무진행생존기간(PFS), 질병조절률(DCR) 등을 비교해 임상적 의미를 분석했다. 그 결과, 무증상 영상군에서 가장 뚜렷한 예후 개선 효과가 확인됐다.
6·12·18·24개월 시점의 전체 생존율을 비교하면, 무증상 영상군은 각각 100.0%, 82.5%, 82.5%, 82.5%로 가장 높았고, 증상군은 89.1%, 64.1%, 41.7%, 40.5%, 무이상반응군은 72.3%, 48.3%, 31.3%, 19.4%였다. 치료 중 증상이 없더라도 영상에서 면역반응을 보인 환자들이 생존기간 면에서 좋은 경과를 보인 것이다.
또한 IPTW 보정을 적용한 시간 종속 Cox 회귀 분석에서도, 무증상 영상군은 무이상반응군에 비해 사망 위험이 약 81% 낮았으며(HR 0.19), 증상군 역시 약 58% 낮은 것으로 나타났다(HR 0.42). 두 군 모두 사망 위험이 통계적으로 유의하게 낮았다(P=0.02). 이는 증상이 없어도 영상에서 보이는 변화가 실제 생존기간에 중요한 영향을 미칠 수 있음을 보여준다.
무진행생존기간(PFS) 역시 무증상 영상군과 증상군에서 더 길게 유지됐으며, 특히 무증상 영상군은 PFS의 독립적인 예후 인자로 확인됐다. 즉, 영상에서 관찰되는 작은 변화만으로도 치료 경과를 예측하는 데 의미 있는 정보를 얻을 수 있다는 의미다.
치료 반응률에서도 차이가 분명했다. 무증상 영상군의 객관적 반응률(ORR)은 41.7%, 질병조절률(DCR)은 100%로 가장 높았으며, 증상군은 각각 26.8%와 92.9%, 무이상반응군은 13.8%와 60.0%로 뒤를 이었다. 이는 환자가 증상을 느끼지 않더라도 CT에서 보이는 경미한 변화가 치료 반응이 좋은 환자를 조기에 식별하는 중요한 단서가 될 수 있음을 시사한다.
이번 연구는 면역항암치료 중 관찰되는 영상 변화가 단순한 부작용을 넘어 환자의 예후를 평가하는 핵심 지표가 될 수 있음을 보여주며, 절제 불가능 간세포암 환자의 치료 전략을 세우는 데 중요한 근거를 제공한다. 연구팀은 다만 중증 면역관련 이상반응은 예후 악화와 연관될 수 있어 별도의 관리가 필요하다고 강조했다.
메디컬프라임 / 백현석 기자 bc703@naver.com
