서울대병원 비뇨의학과 정창욱 교수, 신장암의 증상, 진단, 치료·관리법 소개
[메디컬프라임 윤준혁 기자] 신장암은 초기 통증이 없고 혈뇨 등 증상도 늦게 나타나서, 암이 상당히 진행된 상태에서 발견되는 경우가 많다.
소리 없이 나타나 주기적인 건강검진이 중요하고 초기에 암을 발견하여 신속히 수술 치료할 경우 신장 기능을 보전할 수 있는 ‘신장암’, 21일 암 예방의 날을 맞아 주요 증상부터 치료 및 관리법까지 비뇨의학과 정창욱 교수와 알아봤다.
1. 신장암이란?
신장은 혈액을 여과하고 노폐물을 배출함과 동시에 체내 수분과 염분의 양을 조절하는 장기이다. 신장에서 발생하는 종양은 발생 위치에 따라 신실질(신장 겉표면)에서 발생하는 종양과 신우(신장 가운데 깔때기 모양의 공간)에서 발생하는 ‘신우암’으로 구분된다. 신장에서 발생하는 종양 중 ‘신세포암’이 대부분을 차지하며, 일반적으로 ‘신장암’이라 불린다.
최근 발표된 국가암등록통계에 따르면 2022년 한 해 동안 신장암은 전체 암 발생의 2.5%로 발병률 순위 10위를 차지한다. 신장암의 5년 생존율은 약 95%지만, 경과에 따라서 2기 생존율은 80-90%, 3기 생존율은 40-60%로 낮아진다.
2. 증상
신장암의 3대 증상은 혈뇨, 옆구리 혹, 옆구리 통증이다. 신장암이 더 진행될 경우 전이가 없음에도 불구하고 간 기능 저하, 칼슘혈증, 적혈구 증가증이 있을 수 있다. 하지만 신장암은 대부분 증상 없이 발견되는 경우가 많다.
3. 위험인자
신장암의 원인은 명확하게 밝혀지지 않았다. 하지만 발생률이 높다고 확인된 요인은 흡연, 비만, 장기간 투석 여부, 서구화된 식습관, 직업적 요인, 가족력 및 유전인자 등이 있다. 흡연자의 경우 신장암 발생 위험이 30-50% 정도 증가한다. 비만 역시 신장암 발생과 관련이 있으며, 특히 여성 비만인 경우 신장암 발생 확률이 더 높다.
또한 만성 신장 질환으로 장기적으로 투석을 받거나 고칼로리 음식 및 동물성 지방을 많이 섭취하는 경우 신장암 위험이 커진다. 직업적 요인으로는 석면, 카드뮴과 같은 중금속, 유기용매, 가죽 성분에 자주 노출되는 경우 발생 위험이 높아지는 것으로 알려져 있다.
4. 진단방법
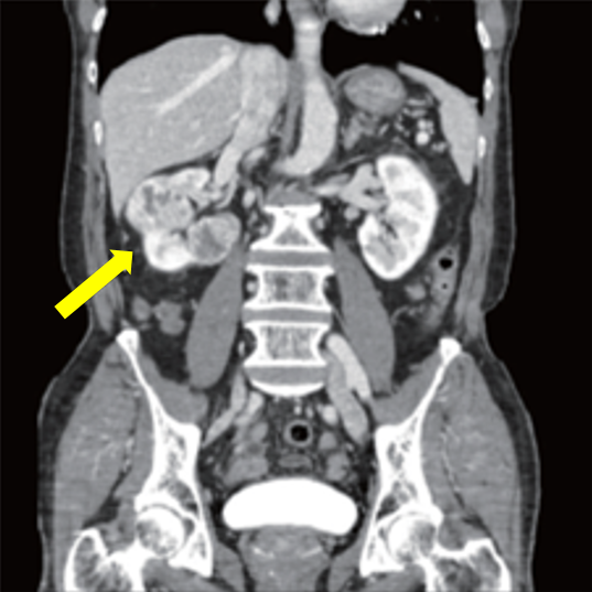
신장암은 초음파, CT, MRI 등 영상검사로 진단한다. 초음파검사로 옆구리 혹 유무를 확인하며, 혹이 확인된 경우 정확한 진단을 위해 복부CT검사를 진행한다. MRI 검사는 CT 외 추가감별진단에 도움이 되며, 특히 신세포암이 하대정맥(혈액을 심장의 우심방으로 운반하는 인체 내 가장 큰 정맥)을 침범하여 혈관 속 종양이 존재하는 경우 그 범위를 평가하는 데 사용된다.
신장암이 전이되어 간, 대장, 췌장 등 주변 장기로 침범한 경우에도 CT 검사로 진단이 가능하다. 뼈로 전이되는 경우에는 방사성동위원소를 이용한 뼈 스캔 검사를 시행한다.
신장암은 수술로 완치되어도 5년 이후 재발하는 경우가 종종 있기 때문에, CT 등 영상검사를 주기적으로 받을 필요가 있다.
5. 치료방법
(1) 수술적 치료
국소 신장암인 경우에 수술로 완전히 제거하면 완치가 가능하기 때문에 수술적 치료를 우선으로 고려한다. 암 크기가 4cm 이하이고 양호한 위치에 있는 경우에는 신장의 일부만 제거하는 부분절제술을 우선 고려하며, 암과 정상세포 간 경계가 불분명하거나 신장 자체를 온전히 보전하기 어려운 경우에는 전절제술로 제거한다.
암 크기가 4cm 이상인 경우도 기술적으로 가능하면 부분절제술을 고려할 수 있지만, 암의 상태에 따라 전절제 여부를 결정해야 한다.
수술은 로봇수술, 복강경수술, 개복수술로 가능하며 수술 범위와 방법에 따라 결정한다. 그중 로봇수술은 신장 내 혈관을 복원하는 과정에서 더욱 정밀하고 빠르게 수술이 가능하다는 장점이 있다. 그러나 신장암이 10cm 이상일 경우에는 개복수술로 단시간 내에 제거하는 게 효과적일 수 있다.
(2) 표적치료제 및 면역억제제
전신 전이가 있는 경우에는 ‘표적치료제’나 최근에 나온 효과적인 ‘면역억제제’가 사용된다. 면역억제제의 경우 이종의 면역억제제를 조합하거나, 표적치료제와 면역억제제를 조합한 약물치료를 진행하기도 한다.
신장암의 전이가 광범위하지 않은 경우 수술이 예후에 도움이 된다. 이 경우 조직 생검을 하여 확진한 이후 전신치료를 먼저 하고 수술을 진행하기도 하고, 수술 이후 전신치료를 이어서 시행하기도 한다.
6. 유의사항
신장암 환자 및 고위험군은 금연 및 저염식을 실천해야 한다. 적당한 양의 물을 섭취하는 것도 신기능 유지에 도움이 된다. 특히 커피나 에너지 드링크 등 카페인 음료 복용은 오히려 탈수를 유발할 수 있어 과도하게 섭취하지 않는 것이 좋다.
또한 신장 기능이 많이 떨어진 경우에 한해서는 자몽 주스와 같이 칼륨이 많은 음식은 피하는 것이 좋으나, 그렇지 않은 경우는 특별히 칼륨이 많은 음식을 제한할 필요는 없다.
7. 환자 및 보호자에게 한 말씀
“신장암 재발을 방지하기 위해선 금연은 필수적이며, 특정 건강보조식품 섭취보다 건강한 식단을 유지하고, 정기적인 건강검진을 받는 것이 중요합니다.
또한 국소 신장암은 수술적 치료로 완치할 수 있고, 전이신장암도 양질의 전신치료제를 사용하여 완치될 수 있으므로 환자는 희망을 잃지 않고 치료받길 권장합니다.”
메디컬프라임 / 윤준혁 기자 medicalprime77@gmail.com
관련기사
- 신장암, 2019년부터 우리나라 암 순위 10위에 포함
- [건강정보] 봄철 불청객 ‘알레르기 비염’과의 전쟁에서 살아남기
- [SNUH 건강정보] 신속한 치료가 중요한 ‘충수염’
- [건강정보] 단순한 목통증? 목디스크 방치하면 수술까지 이어진다!
- 서울시정신건강복지센터, 2025년 동료지원인 양성교육 참여자 모집
- 큐리언트, 텔라세벡 결핵 임상 2A상 최종결과 논문 발표
- 녹십자수의약품, 대규모 산불 피해 반려동물에 긴급 의약품 후원
- [충남대병원] 산부인과 김유진 교수 로봇수술 200례 달성
- [건강정보] 거북목 증후군, 자세만 바로잡아도 통증 줄인다
- [SNUH 건강정보] 소아 천식의 치료 및 관리 방법 소개
- [SNUH 건강정보] 경계선지능 아동의 특징과 도움 방법 소개
