폐·호흡근 용적 지수, 기존 검사와 유사한 정확도로 루게릭병 예후 평가 가능
[메디컬프라임 윤준혁 기자] 서울대병원 연구팀이 딥러닝 기술로 흉부 CT 영상에서 폐와 호흡근 부피를 분석해 새로운 검사 지표를 개발했다. 이 영상 기반 지표는 루게릭병 병기 및 생존 기간과 유의한 상관관계가 있는 것으로 나타나, 기존 검사의 한계를 보완할 수 있을 것으로 기대된다.
서울대병원 신경과 최석진·성정준 교수(김종수 전문의) 및 영상의학과 박창민·최규성 교수 공동 연구팀은 루게릭병 환자 261명의 흉부 CT 영상을 분석해 이 같은 사실을 확인했다고 발표했다.
이번 연구 결과는 국제학술지 ‘래디올로지(Radiology, IF;15.2)’ 최근호에 게재됐다.
루게릭병은 뇌와 척수의 운동신경세포가 점차 파괴되는 치명적인 신경퇴행성 질환이다. 병이 진행될수록 호흡근까지 마비되며, 발병 3~4년째면 호흡부전으로 사망에 이른다. 이에 루게릭병 환자는 폐활량 검사(측정기를 입에 물고 숨을 깊게 들이쉰 후, 한 번에 힘껏 내쉴 수 있는 공기량을 측정하는 검사)를 통해 정기적으로 호흡 기능을 측정하고, 그에 따라 적절한 치료 방침을 결정한다.
그러나 구강안면 근육이 약해져 구음장애(말과 발음이 부정확해지는 장애)가 동반된 환자는 이 검사의 정확도가 떨어져, 이를 대체할 새로운 호흡 기능 검사 방법이 필요했다.
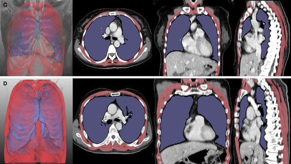
이에 연구팀은 딥러닝 소프트웨어를 이용해 루게릭병 환자의 폐와 호흡근 위축 정도를 나타내는 폐 용적 지수(LVI)와 호흡근 용적 지수(RMI)*를 개발하고, 병기 및 생존 기간과의 연관성을 확인했다.
*폐 및 호흡근 부피(㎤)를 키의 제곱(㎡)으로 나눈 값
그 결과, 폐·호흡근 용적 지수는 병기(1~4기)가 증가할수록 유의미하게 감소했다. 또한, 이 지수들이 낮은 그룹은 높은 그룹 대비 폐와 호흡근 위축이 뚜렷한 것으로 나타나, 기관절개술 또는 사망에 이르는 시점이 빨랐다.
또한, 통계 분석에 따르면 폐·호흡근 용적 지수는 기존 폐활량 검사와 유사한 정확도로 환자의 예후를 평가할 수 있었다.
이 결과는 구음장애 환자만 분석한 경우에도 동일하게 나타나, 연구팀이 개발한 영상 기반 지표가 호흡 기능을 평가하기 어려운 루게릭병 환자에서도 폐활량 검사를 대체할 수 있는 가능성을 보여줬다.
메디컬프라임 / 윤준혁 기자 medicalprime77@gmail.com
관련기사
- 한양대학교병원, 개원 53주년 맞아 “중증·응급 치료 잘하는 병원” 도약
- 루게릭병 환자 가족, 77%는 집에서 돌봄 지속 희망
- [한양대의료원] 이창원 기부자, 루게릭병클리닉발전기금으로 1억 쾌척
- 진행암 환자, 긍정적 대처 전략이 낮고 우울증 동반하면 1년 내 사망 위험 4.63배 높아
- 네오팜, 기능성 화장품 원료 ‘디펜사마이드’ 중국 신원료 NMPA 등록
- [여의도성모] 최원석 교수 연구팀, 동아시아 최초 '사이키델릭 치료제' 인식조사 연구 발표
- 실시간 위치 추적 시스템 기반 척추 수술 환자 회복 속도 비교
- 종양 억제 인자로 알려진 GAS5, 간세포암에서 종양 촉진 기능 수행
- [서울성모] 성필수 교수팀, ‘The Liver Week 2025’ 최우수 발표상 2편 동시 수상
